Conheça os problemas ortodônticos mais comuns

Conheça os problemas ortodônticos mais comuns
Veja se você possui algum deles e saiba: eles têm tratamento

30/08/2021 | Dicas de Saúde

Problemas ortodônticos podem afetar crianças e adultos – mesmo aqueles que usaram aparelho ortodôntico quando eram jovens. Isso porque os dentes se movimentam gradualmente o tempo todo – mais do que você imagina – em resposta às forças normais que exercemos ao morder e mastigar.

Mas os dentes também podem ser “empurrados” para fora do alinhamento adequado quando, por exemplo, crianças pequenas desenvolvem hábitos prejudiciais à saúde, como chupar o dedo ou empurrar a língua, usar bico/chupeta por tempo prolongado ou respirar pela boca. Esses e outros problemas ortodônticos geralmente aparecem por volta dos 6-7 anos, quando os dentes permanentes começaram a aparecer. É por isso que uma avaliação ortodôntica é recomendada para todas as crianças nessa idade.

No caso dos adultos, eles frequentemente veem seus dentes começarem a “entortar” em direção ao centro da boca (apinhamento). A mordida também pode ficar mal alinhada devido à falta de um dente. Mas é bom saber que, independentemente da sua idade, o tratamento ortodôntico está disponível para todos os problemas ortodônticos mais comuns. 

Abaixo, o Dr. Gustavo Zanardi, ortodontista da MedCal, listou esses problemas. Mas ele faz o alerta: “O tratamento ortodôntico é viável desde que dentes e gengivas sejam saudáveis. Também é importante lembrar que o uso de contenção após qualquer tratamento ortodôntico ajudará a manter os resultados pelo maior tempo possível.”

Erupção anormal

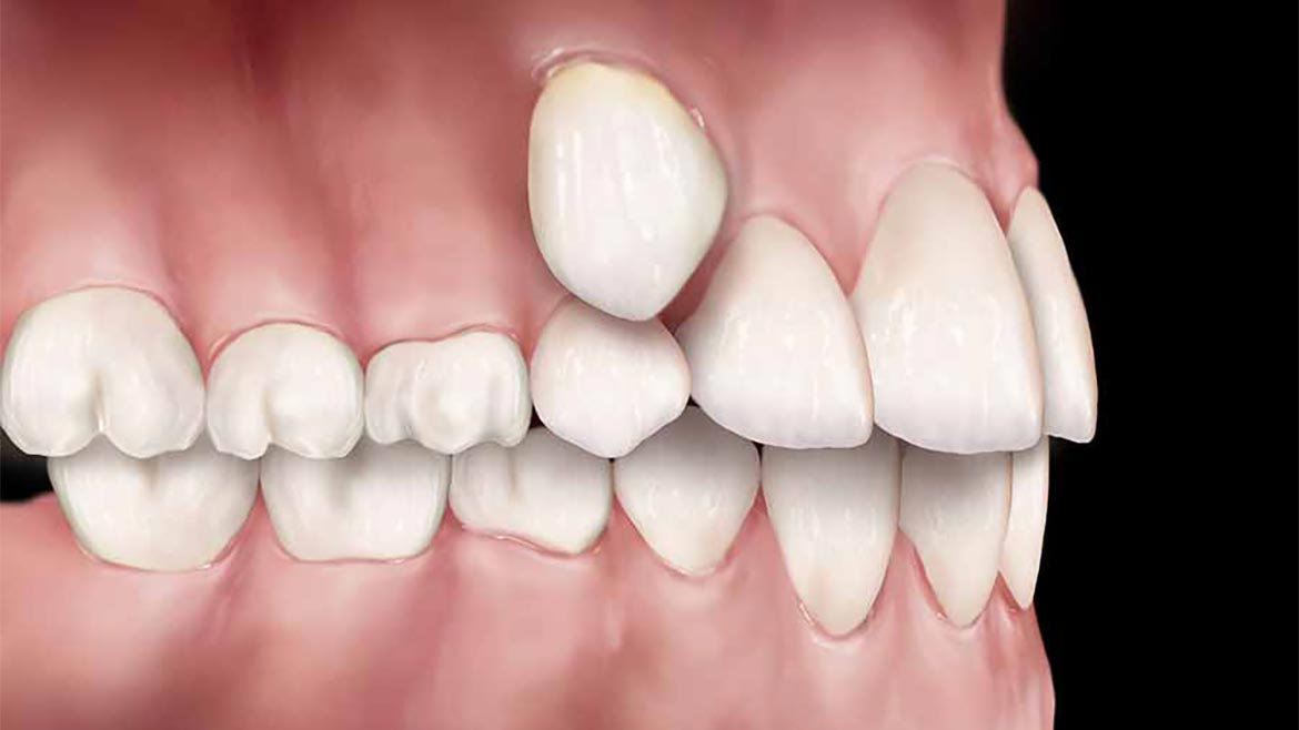
A erupção anormal ocorre quando um dente emerge pela gengiva no local errado. Se o dente está bloqueado para não crescer totalmente (uma situação chamada impactação), um pequeno procedimento cirúrgico oral pode ser necessário para descobrir o dente antes do início do tratamento ortodôntico.

Mordida cruzada (anterior ou posterior)

A mordida cruzada ocorre quando um ou mais dentes superiores mordem “por dentro” dos dentes inferiores, e não “por fora”. Isso geralmente está relacionado a uma desarmonia entre a maxila e a mandíbula. Em uma criança que ainda está crescendo, expandir a maxila (arcada superior) com um aparelho ortodôntico chamado expansor pode resolver o problema.

Apinhamento

O apinhamento resulta da falta de espaço para os dentes nas arcadas, seja porque os dentes são muito grandes ou porque os maxilares são muito pequenos. As possíveis soluções podem incluir remover ou desgastar alguns dentes, abrir mais espaço nas arcadas com um expansor ou através de um procedimento cirúrgico.

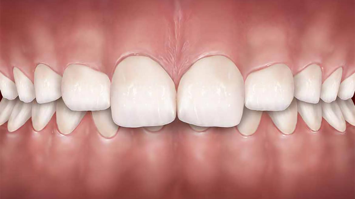
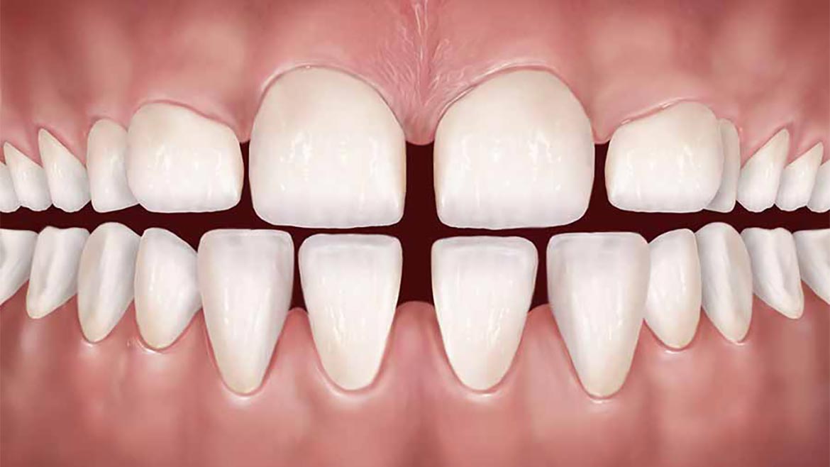
Espaçamento excessivo (diastemas generalizados)

O espaçamento excessivo (ou a presença de diastemas generalizados) pode ocorrer quando um ou mais dentes não nascem, são perdidos por trauma ou doença, ou quando há uma discrepância entre o tamanho dos maxilares e o tamanho dos dentes. É importante corrigir isso aproximando os dentes e criando pontos de contato adequados entre eles, pois o espaço excessivo permite que os dentes próximos saiam de sua posição, além de favorecer o acúmulo de alimentos (impacção alimentar) e poder causar problemas gengivais/periodontais.

Mordida aberta

A mordida aberta ocorre quando os dentes anteriores superiores e inferiores não se unem ao morder, resultando em um espaço entre os dois (falta de trespasse vertical entre os incisivos). Isso geralmente é o resultado de “empurrões” da língua (também chamado de padrão infantil de deglutição) e/ou sucção prolongada do polegar (chupar o dedo ou bico/chupeta) por período prolongado.

Mordida Profunda (Sobremordida Exagerada)

A mordida profunda (sobremordida exagerada) ocorre quando os dentes anteriores superiores mordem muito para baixo sobre os dentes inferiores. Às vezes, a mordida é tão profunda que os dentes superiores cobrem os inferiores completamente, forçando os inferiores a morderem o céu da boca (palato). Isso geralmente resulta de uma discrepância no tamanho dos maxilares.

Protrusão (ou Sobressaliência aumentada)

Protrusão (ou Sobressaliência aumentada) é quando os dentes anteriores superiores se estendem muito para a frente ou os dentes inferiores não se estendem o suficiente para a frente. Isso pode estar relacionado à genética, desenvolvimento inadequado da mandíbula, dentes inferiores ausentes e/ou alinhamento inadequado dos molares. Chupar o dedo ou empurrar a língua pode agravar o problema.

Mordida Cruzada Anterior Total 

A mordida cruzada anterior total ocorre quando os dentes anteriores inferiores se estendem além dos dentes anteriores superiores. Pode ser causada por crescimento excessivo da mandíbula e/ou crescimento reduzido da maxila. Dependendo da gravidade, o tratamento pode envolver ortodontia convencional e/ou cirurgia dos maxilares (ortognática).

Se você possui ou conhece alguém que possui algum desses problemas citados acima, entre em contato conosco ou marque esse conhecido aqui nesse post! Se você está preocupado com o alinhamento dos dentes, ou dos dentes de seus filhos, marque uma consulta conosco na Medcal. Nosso ortodontista Dr. Gustavo Zanardi e toda nossa equipe terão o maior prazer em recebê-lo(a) e aconselhá-lo(a) sobre as opções de tratamento mais adequadas. Ligue para (47) 3363-6066, envie mensagem através do WhatsApp (47) 98469-1709 ou acesse o Agendamento Online.